
肺的大小及形态可出现多种异常表现,如整个肺缺失(双侧发育不全)、肺分叶或叶间裂的轻微改变。肺分叶异常在临床上通常意义不大,肺大小异常有明显临床意义,如双侧肺发育不全时肺组织缺乏,肺萎缩伴双侧肾发育不全时可见到许多相关器官异常。
1.马蹄肺 马蹄肺是一种罕见的先天性肺分叶异常,类似于马蹄肾,表现为右肺与左肺在心后方正中线处融合。尽管一侧肺的支气管可能变小,一侧肺可能发育不全,但是解剖学上,双侧肺的支气管供给是正常的。而动脉血供和静脉回流常会存在异常,如短弯刀综合征。另有报道反向的马蹄肺病例,表现为右上叶和左上叶肺相融合。
2.肺疝 肺疝出胸腔外罕见,新生儿期发生肺疝更罕见。成人肺气肿、久咳或支气管哮喘可能导致肺疝,心肺复苏或其他创伤时也可并发肺疝。
3.肺发育不全 肺发育不全是指肺组织、气管及主支气管缺如。肺发育不全可能发生在单侧或双侧,也有少数为叶发育不全。双侧肺发育不全十分罕见通常致死。单侧肺发育不全较为常见。该病好发于女性,在某些病例中呈现出常染色体隐性遗传特点。
虽然双侧肺发育不全有时可见整个气管缺如,但是在肺发育不全时喉与气管上部形态多正常。
4.肺发育不良 肺发育不良是指肺发育不完全,常由于肺单位数目减少致肺缩小。
肺发育不良诊断方法多样,最简单的就是直接测量肺重量,与期望值相比较,但在绝大多数病例中由于各种因素影响无法测量精确测量,如伴发肺炎、肺出血、肺水肿、新生儿透明膜病以及全身水肿,可导致肺重量值增加。
肺泡计数、肺容量、气道分支及DNA含量等方法准确、重现性好,但需要特殊的设备和技术,大多数实验室尚未普遍使用。
弯刀综合征(scimitar syndrome)为右肺发育不全疾病,包括右肺发育不全、反常的右肺静脉回流及异常右肺动脉供给,即全身动脉供应右肺,心脏右移位,反常的右肺静脉回流入下腔静脉;这条静脉在X线片上可以显现出一条带状的阴影平行于心的右界,朝膈肌的方向拓宽,使人在结构上联想起弯曲的土耳其马刀,故以弯刀命名。
5.肺叶外型隔离症 肺叶外型隔离症(extralobar sequestration)是指肺实质外肿块,不与气管支气管树相连,且存在于脏层胸膜覆盖范围之外。肺叶外型隔离症被认为起源于前肠外袋(outpouching of the foregut),有别于正常生长发育的肺组织,后者不久就会部分或全部脱离它的前肠起源。
肺叶外型隔离症多见于6个月内的婴儿(61%),在一些稍大点的孩子中也可见到,但是成人很少见。男性居多,男女比例为3∶1~4∶1。异位的肺实质85%位于胸腔内,其中最常见(63%)位于下叶与膈之间,很少出现在心包、前纵隔或者后纵隔内。
6.婴儿(先天性)肺叶气肿 婴儿肺叶气肿是最常见的先天性肺畸形,特征为过度发育或增生的肺小叶导致肺膨胀,或继发于内在因素或外在因素导致支气管到小叶阻塞的肺实质(肺泡管和肺泡)的过度膨胀。最常见的原因是支气管狭窄或闭锁、非正常来源的支气管如气管或动脉上支气管,也可继发于支气管受压或梗阻。
婴儿肺叶气肿常多见于男性,男女比例(1.8∶1),呼吸窘迫或呼吸困难在几天到几周内逐渐加重,症状在出生后的前几个星期到几个月之内表现出来,很少在6个月以后发病。极少数婴儿肺叶气肿可以无症状表现。
Manietal最近报道了两种形式的婴儿肺叶气肿,一种为经典型,大约占病例的70%,镜下主要表现为肺泡导管和肺泡过度扩张,通常是正常大小的3~10倍,其他与正常肺组织无异;另一种为增生型或者多肺泡型,大约占30%,显微镜下表现为肺泡导管和肺泡扩张或不扩张,肺泡小囊的分支形成复合性的远端腺泡,腺泡样结构过度增生引起肺叶增大,辐射状肺泡计数(RAC)通常达到同龄儿童的2~3倍。
7.肺组织增生 多肺泡肺叶或肺组织增生是一种婴儿肺叶气肿的表现形式,且是一种先天性的伴有与典型婴儿肺叶气肿相似临床特点的肺组织异常形态。这种形式的肺泡实质有异常且肺泡的绝对数量有所增高。每个肺泡大小和形状是正常的,但数量上却有3~5倍的增加,使得肺叶体积达到正常的1.5~3倍,可导致邻近肺组织的压缩及纵隔移位。
8.先天性肺淋巴管扩张 先天性肺淋巴管扩张是一种罕见的但常为致死性的病变,以胸膜下及支气管周围淋巴管的扩张为特征,可为全身性淋巴管扩张的一部分。它的发生通常都是与梗阻性的心血管损伤相关的,也可表现为广泛性淋巴管扩张的一部分或者极少情况下是一个单独的肺部损伤。
先天性肺淋巴管扩张的肺常体积增大,质硬不可压缩,胸膜下扩张的淋巴管构成明显的网状结构弥漫分布于肺表面。显微镜下表现为小叶间隔内和胸膜下支气管血管束周围的淋巴管扩张。淋巴管被覆内皮细胞,数量轻微增加,管腔均匀扩张,腔内常空,可含有少量嗜酸性物质或红细胞;由疏松或致密结缔组织分隔,结缔组织内常含有髓外造血灶。
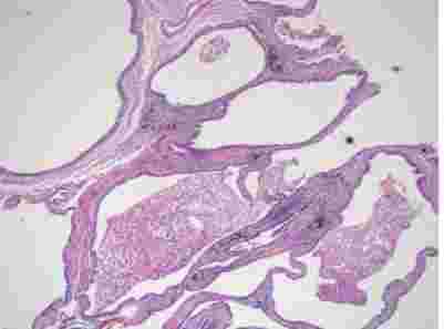
9.先天性肺呼吸道畸形(先天性肺囊性腺瘤样畸形) 先天性囊性腺瘤样畸形包括所有先天性肺呼吸道异常,以出现不同大小及分布异常的细支气管及腺泡结构为特征。Stocker根据呼吸道损伤的发育不良的位置提出了一个扩展性的分类,且将此类异常重新命名为先天性肺呼吸道畸形(congenital pulmonary airway malformation,CPAM)。
先天性肺呼吸道畸形大体上表现为多发性、不规则、大小不等的囊腔(图4-2),显微镜下(图4-3)为囊性或非囊性的腺泡结构,被覆立方上皮、假复层纤毛柱状上皮或肺泡上皮。有时可出现急慢性炎症细胞浸润、泡沫样组织细胞沉积(图4-4)或纤维化,此时诊断较困难,因为肺组织坏死后在正常的修复机制下可出现被覆立方、柱状或假复层柱状上皮的囊腔,且伴纤维化及慢性炎症。

图4-2 先天性肺囊性腺瘤样畸形(CCAM)
肉眼可见肺内多发性、不规则、大小不等的囊腔

图4-3 先天性肺囊性腺瘤样畸形(CCAM)
显微镜下见囊性或非囊性的腺泡结构,被覆立方上皮、假复层纤毛柱状上皮或肺泡上皮

图4-4 先天性肺囊性腺瘤样畸形(CCAM)
继发性大量泡沫样组织细胞在囊腔内储积
下一篇:西南丝绸之路





.jpg)
.jpg)
