.jpg)
【病史摘要】
男,44岁,阵发性头痛1年,走路不稳6个月。
【影像所见】
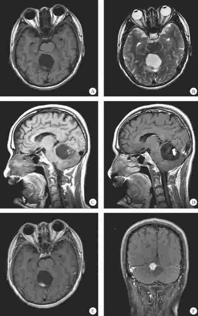
图3-23A、B、C,横断面T1WI、T2WI及矢状面T1WI示小脑蚓部囊性占位伴有壁结节,囊性部分呈长T1长T2信号,壁结节位于后部,呈稍短T1稍短T2信号,邻近壁结节可见流空的血管影。图3-23D、E、F,增强扫描壁结节呈明显强化。
【诊断和分析】
本病例诊断为血管母细胞瘤。
影像学诊断要点:①通常发生于40~60岁成人,儿童罕见;②80%~85%位于小脑,3%~13%位于脊髓,2%~3%位于延髓,幕上少见;60%为囊实性,40%为实性;③CT表现为低密度的囊肿伴有明显增强的壁结节;④囊性部分在MRI表现为长T1长T2信号,壁结节的信号各种各样,但增强扫描呈明显强化。肿瘤内或肿瘤旁纡曲的流空血管影是其特征。
【鉴别诊断和误区防范】
本病主要与小脑毛细胞星形细胞瘤相鉴别。
小脑毛细胞星形细胞瘤:①儿童和青少年多见;②可以发生于小脑半球的任何部位;③囊性或囊实性肿块,典型表现为大囊带有壁结节,表现为长T1长T2的信号;④增强扫描壁结节呈明显强化,囊壁大多不强化。
【检查方法及选择】
主要影像学检查方法为MRI。MRI可清楚地显示病变的信号特征,壁结节以及流空血管信号,是首选的检查方法。
【临床病理和随访】
血管母细胞瘤属于WHO 1级,组织起源不定,由间质细胞和丰富的毛细血管构成。巨检表现为边界清楚、血管丰富的红色结节,常位于大囊的壁上。坏死和出血不常见。镜下肿瘤主要由两种成分构成:空泡状大间质细胞和丰富的毛细血管网。囊壁是由受压的脑实质和反应性的胶质增生组成的。
【评述】
年龄是本病与小脑毛细胞星形细胞瘤的主要鉴别点,两者影像学表现相仿。

图3-23 血管母细胞瘤MRI检查
上一篇:混合动力电动汽车的特点
下一篇:要素价格比例变化理论的主要内容





.jpg)
.jpg)
