
(一)病理基础
风湿性瓣膜炎的后遗,主要改变为瓣膜环瘢痕收缩,瓣叶增厚融合,瓣膜表面粗糙硬化,腱索短缩粘连,瓣口狭窄,严重时瓣膜闭合不完全,心脏收缩时心室血液回流心房。
(二)主要临床表现
二尖瓣狭窄最常见,轻者无症状或劳累后心悸。重者可出现咯血、端坐呼吸、肝大、下肢水肿等。听诊心尖区舒张期隆隆样杂音,肺动脉瓣区第二音亢进,伴有二尖瓣关闭不全时,心尖区有收缩期吹风样杂音。
(三)影像表现特点
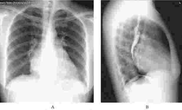
单纯二尖瓣狭窄继发左房增大、肺淤血、肺水肿;长期肺淤血肺循环阻力增高导致肺动脉高压,肺动脉段突出、右室大。左室充盈减少可缩小,主动脉结也缩小(图5-17)。伴有二尖瓣关闭不全时,左室负担加重可肥厚增大(图5-18)。

图5-17 二尖瓣狭窄X线表现
A.正位;B.侧位。左房增大,表现为心脏后上方偏左侧增大,正位像可见心影中的高密度部分(双重密度影),侧位像可见食管在左房水平受压后移。另一表现为肺血再分布,表现为肺上静脉增粗,肺下静脉痉挛变细

图5-18 二尖瓣关闭不全X线表现
左房、右室增大基础上左室增大明显,主动脉结相对不凸出
(四)常见鉴别诊断及鉴别要点
肺心病:有肺疾病病史和影像表现。右室增大为主,一般左房不大。
上一篇:如何诊断房性期前收缩
下一篇:在致远学院一年的感悟





.jpg)
.jpg)
