
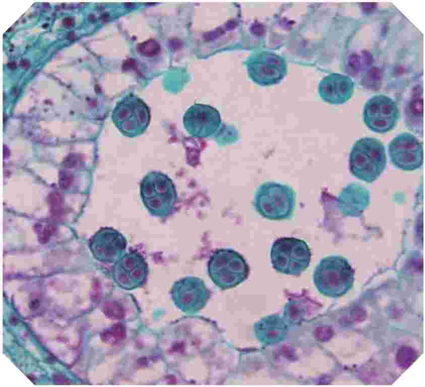
1. 四联球菌
外观——形态特征大多数四联球菌直径约为0.5~2微米,其沿着两个相互垂直的平面分裂,分裂后每四个细胞在一起呈田字形,称四联球菌。它是革兰氏阳性球菌,例如四联微球菌,该菌菌落常表现为湿润、黏稠、光滑、较透明、易挑取、质地均匀,以及菌落正反面或边缘与中央部位颜色一致等。

四联球菌
四联球菌在肌体内可形成荚膜,容易培养。其在血琼脂平板上形成灰白色,圆形,不透明的菌落,有溶血环。四联球菌为上呼吸道正常寄生菌,当肌体抵抗力降低时,偶尔可使人致病,引起关节炎、脑膜炎、肺炎、软组织脓肿、心内膜炎或败血症等。它对青霉素、金霉素等敏感。
喜好/生态习性
四联球菌好氧,不喜欢运动,是氧化酶和过氧化氢酶阳性的球菌。其细胞壁中不含磷壁酸。四联球菌对干燥和高渗有较强抵抗力,可在5%盐水环境中生长,最适宜的生长温度为25℃~37℃。
它无特征性糖,接触酶阳性,氧化酶阳性,v-p反应阴性,吲哚反应阴性,硝酸盐还原阳性。
价值——经济用途
四联球菌广泛存在于人和动物的皮肤上,也广泛分布在土壤、水、植物和食品上,是重要的食品腐败性细菌。

四联球菌
在新鲜食品、加工食品和腐败的食品中,该菌的检出率都很高。对酱油风味起主要作用的细菌是嗜盐足球菌和四联球菌。
四联球菌能耐20%的食盐,在发酵后期能生成一定量的乳酸。四联球菌可引起肉类、鱼类、水产制品、大豆制品等食品的腐败,还能引起皮肤的感染。
上一篇:人造卫星的速度
下一篇:党在社会主义初级阶段的基本路线






.jpg)
