

图4-19 子宫肌瘤
注:CT平扫示 子宫明显增大,密度均匀,子宫腔内见金属物

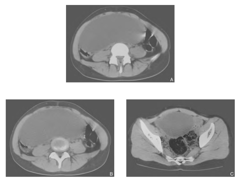
图4-20 卵巢畸胎瘤
注:CT平扫示 有一约15cm×15cm×12cm类圆形混杂密度影占据整个盆腔,其内有不规则低密度影,肿物左前缘可见一长形高密度影,CT值为350Hu左右。肿物压迫膀胱及子宫

图4-21 卵巢浆液性囊腺瘤
注:CT平扫示 盆腔内可见较大囊性病灶,其大小为11.0cm×8.2cm,其内可见液平,CT值为-1.0~-14.0Hu:病灶内可见不规则钙化影。盆腔左侧见一较小的囊性病灶,其内有钙化影

图4-22 右侧巨大卵巢囊肿
注:CT平扫示 盆腔右侧见一巨大囊性密度影,密度不均,其大小为7cm×15cm,境界清楚

图4-23 卵巢囊肿
注:CT平扫示 左侧卵巢区见一类圆形低密度灶,CT值为19.62Hu,其周边清楚
上一篇:生物分类学的发展及生物学的诞生
下一篇:梁平法施工图的表示方法





.jpg)
.jpg)
